【潜在能力の見える化】脳波測定器kuwatec AqFader・・・BlueVAS
潜在能力を覚醒させると
① 記憶力が良くなる
② ひらめきや直感力が鋭くなる
③ ストレスから解放され健康にも良い影響を与える
といった奇跡が起こると政木和三博士がおっしゃっていた。
そして、潜在能力を覚醒させるには、脳波をシータ波にする必要があるとも。
それゆえ、マントラを唱えるときや、フーチによる情報空間へアクセスするといった能力(脳力)を発揮する際に、脳波をシータ波にし、変性意識状態(トランス状態)にすると大きな効果が得られると思われます。
とはいえ、果たして自分の脳波がシータ波になっているのかといった疑問を感じたことはありませんか?
本商品によって、脳波を確認することができるのです。
例えば、商品画像3は、思考中における脳波の状態を表したもので、
・上段が左脳の脳波
・下段が右脳の脳波
右側にある青色の波形の画面が脳波の時系列データ(元データ)。
これをシータ波(Θ波)、アルファー波(α波)といった周波数毎にどの程度でているかを確認できるように高速フーリエ変換した結果が左側のカラフルな山の画面。右脳、左脳共に、ベータ波(β波)の領域に大きな山がたくさんあるので、脳が忙しいことが確認できます。
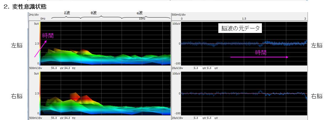
一方、商品画像4は、変性意識状態になろうとリラックスしようとした際の脳波の状態を表したものです。アルファー波(α波)さえも穏やかになっていることが確認できます。穏やかになりすぎたので、横軸の周波数を商品画像3のときよりも拡大表示しております。ベータ波(β波)も穏やかになってますが、ここには写っていません。
余談ですが、本ショップの次の商品にある武士道気功 DVDに収録されている「小周天で空の状態を創る」を実践すると、商品画像4の状態に早くなりやすいようです。個人差はあるかもしれませんが、お試しあれ。
【矢山式 武士道気功】阿吽剣とDVD、電磁波防止グッズのセット
■kuwatec AqFader BlueVAS バンドルパッケージ 定価:¥159,800 (税別)
ソフトウェア、ハードウェア、周辺アクセサリーのセットです。
主に脳波の測定/解析/応用を想定したセットです。
Windows/Mac OS X の両プラットフォームに対応しています。
■商品構成(商品画像1,2)
1人用 2チャンネル測定のセットです。付属の 2ch ヘッドバンドを使用して左・右の脳波の測定ができます。
・AqFader ソフトウェア
・BlueVAS ハードウェア
・2chヘッドパット(HP-01)
・ヘッドバンド(HB-01)
・接続ケーブル(HC-00)
■別途必要な消耗品
・電極(10ピース)(ELE-00)・・・¥3,000 (税別)
・9V形 電池
・Bluetooth レシーバー(PCにない場合に必要です。¥1,000ぐらい)
■本商品の詳細説明
http://www.kuwatec.co.jp/Products/AqFader/index.html
■インストール方法
上記URLの「関連ダウンロード」の項目に「AqFaderセットアップ・マニュアル 」が圧縮されております。PCにて解凍し、ご確認ください。
■中古品
中古品につきご理解頂ける方にのみ販売させて頂きます。また、上記、インストール方法をご確認いただき、ご自身でインストールできそうにないと思われた方は、ご遠慮願います。
■ホームページはこちら
https://funaiselect.net/360/
¥100,000
SOLD OUT
※こちらの価格には消費税が含まれています。
※この商品は送料無料です。








